.... in quanto partecipa attivamente ai movimenti di lateralita' della mandibola, determinandone la giusta disclusione ed impedendo dei contatti patologici tra le superfici dei denti. E' inoltre fondamentale, per l'estetica del sorriso, senza il quale e' difficile ottenere la giusta simmetria ed armonia. Purtroppo questo dente, cosi importante, rimane spesso incluso, non riesce cioe' ad erompere in arcata e rimane "sepolto" all'interno dell'osso della mascella anche quando l'eruzione degli altri denti permanenti, e' terminata. Il modo migliore per affrontare questo tipo di problema. e' "agganciare" il canino incluso, e tirarlo fuori lentamente, attraverso un apparecchio ortodontico. Questo consente il completo recupero estetico e funzionale del dente con una soluzione non protesica ma naturale e definitiva. Per attuare questa procedura, il dentista deve effettuare un piccolo intervento di chirurgia orale, in cui il dente incluso viene scoperto, gli viene incollato un piccolo bottone adesivo, a cui poi, viene legato un sottile filo metallico. Attraverso questo filo il canino viene collegato al resto dell'apparecchiatura ortodontica, e tirato lentamente verso la sua posizione in arcata. Al momento apportuno, al dente neo-arrivato, verra' applicato un attacco "braket" anche sulla sua faccia vestibolare (la faccia del dente che e' rivolta verso le labbra) e, attraverso questo, verra' guidato con maggiore precisione, nella sua posizione definitiva. Il tempo per l'intera procedura, varia a seconda della difficolta' e quindi della posizione iniziale del canino incluso. In questo caso abbiamo terminato in 18 mesi.
Canino incluso in un giovane adulto
E' fondamentale la presenza del canino in arcata. - Il canino permanente superiore e' un dente molto importante per la funzione masticatoria...
Situazione iniziale: il canino di destra e' da latte; mentre quello superiore sinistro e' in cross-bite.
Montata l'ortodonzia,viene aperto un piccolo lembo gengivale, che mette in evidenza la posizione del canino permanente superiore destro. Il canino da latte e' gia stato estratto.
Un piccolo bottone ortodontico e' gia stato incollato, ora a questo viene fissato un sottile filo metallico.
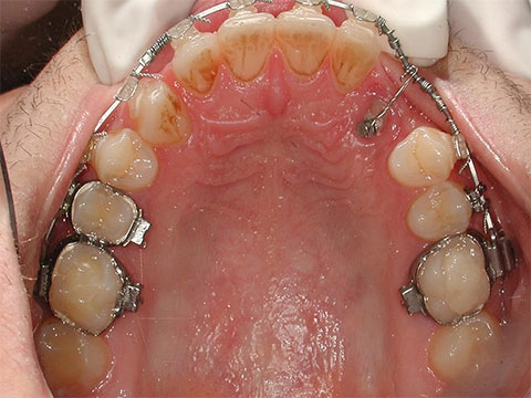
Si nota il sottile filo metallico che collega il bottone sul canino, con il resto dell'apparecchiatura ortodontica.
Guarita la piccola ferita chirurgica, si puo' ora cominciare a tirare il dente verso la sua posizione ideale
TAG: Canino incluso in un giovane adulto
















Dentista Trentino Alto Adige, Trento
Vedi la scheda
Dentista Campania, Salerno
Vedi la scheda
Dentista Veneto, Vicenza
Vedi la scheda
Dentista Piemonte, Torino
Vedi la scheda
Dentista Emilia Romagna, Rimini
Vedi la scheda