Menu

Le notevoli possibilita dell'elastodonzia caso 3: come intercettare casi complessi

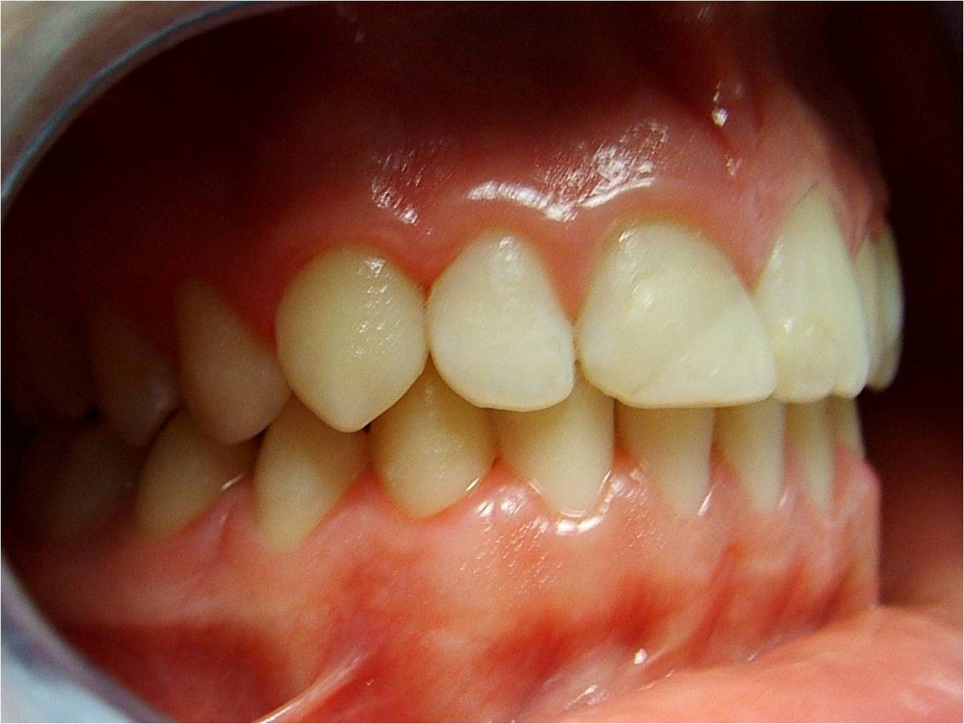
Gravissima seconda classe da suzione pollice, respirazione orale, deglutizione atipica

Le notevoli possibilita dell'elastodonzia caso 3: come intercettare casi complessi by Dott. Gianfranco Paolini 02-10-2009 4673 visualizzazioni
Enormi sono le possibilità dell'elastodonzia in età prepuberale.


Scritto da Dott. Gianfranco Paolini
Milano (MI)

 
 
 
 
fine caso
fine caso

TAG: Le notevoli possibilita dell'elastodonzia caso 3