Laser dentale
by
Studio Odontoiatrico Associato Dr. M. Iancu P. e Dott.ssa L. Marchione
03-06-2012
3150 visualizzazioni
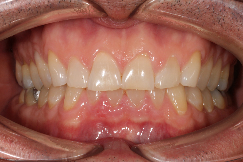
Sbiancamento eseguito in poltrona con laser a diodi per attivazione del perossido di idrogeno di colore blu (spettro di assorbimento per il laser a diodi) e 10 giorni di sbiancamento casalingo con perossido di carbammide con mascherine individuali.
Attivazione in studio
- 2 applicazioni di 10 minuti ciascuna
- 1 applicazione di 8 minuti
Totale 3 applicazioni con laser.
Attivazione in studio
- 2 applicazioni di 10 minuti ciascuna
- 1 applicazione di 8 minuti
Totale 3 applicazioni con laser.


.jpg)
.jpg)
.jpg)
.jpg)



Dentista Piemonte, Alessandria
Vedi la scheda
Dentista Friuli Venezia Giulia, Gorizia
Vedi la scheda
Dentista ,
Vedi la scheda
Dentista Piemonte, Alessandria
Vedi la scheda
Dentista Puglia, Brindisi
Vedi la scheda