Implantologia | Casi Clinici
Indice Casi Clinici in Implantologia - Risultati trovati: 171
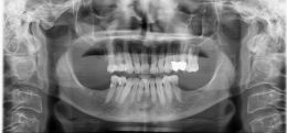
Implantologia classica e post-estrattiva
Posizionamento fixtures in tecnica a due tempi e postestrattiva
Leggi tuttoImplantologia computer-guidata per overdenture (protesi rimovibile)
La protesi mobile inferiore viene fissata su impianti
Leggi tuttoMinimpianti per stabilizzare una protesi rimovibile
I minimpianti vengono spesso utilizzati in quelle persone portatrici di protesi mobile che, a causa di una grave atrofia ossea, non riescono a masticare bene perche' la protesi non e' stabile.
Leggi tuttoImplantologia mini invasiva senza punti di sutura per la ricostruzione del sorriso
Impianti per la sostituzione dei denti mancanti
Leggi tuttoImplantologia guidata
Riabilitazione protesica in tempo unico su impianti con tecnica digitalmente guidata
Leggi tuttoIMPLANTOLOGIA COMPUTER-GUIDATA
Impianti per la sostituzione dei denti e degli impianti affetti da parodontite in entrambe le arcate
Leggi tuttoIMPLANTOLOGIA ESTETICA DEL SORRISO
Riabilitazione totale della bocca con impianti
Leggi tuttoImpianti short
Attraverso l'utilizzo degli impianti short si evitano tempi e procedure lunghe e costose
Leggi tuttoImplantologia estetica
Corone in zirconio ceramica su impianti certificati inseriti con sistema guidato al computer
Leggi tutto


Dentista Emilia Romagna, Parma
Vedi la scheda
Dentista Liguria, Genova
Vedi la scheda
Dentista Sardegna, Sassari
Vedi la scheda
Dentista Lazio, Roma
Vedi la scheda
Dentista Lazio, Viterbo
Vedi la scheda