Implantologia
by
Dott. Vincenzo Ugo Soleri
30-08-2016
1533 visualizzazioni
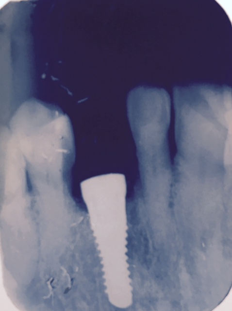
InseriImpianto post estrattivo con RIGENERAZIONE OSSEA E MEMBRANA CON L'USO DI PIEZO PER FRATTURA 23
Paziente di 80 anni. Presenta dolore e ascesso gengivale in sede 23 per frattura coronale e radicolare. Si instaura terapia antibiotica Augmentin 1 gr. 2 volte al di'. Dopo 3 giorni in sedazione cosciente si estrae radice con piezo e dopo accurato curettage osseo si inserisce impianto STRAUMANN Roxolid TE 10 mm. Nel difetto osseo vestibolare viene inserito BIO-OSS e MEMBRANA riassorbibile. Sutura estroflettente Rocefin 1 gr. im per 6 giorni
Scritto da Dott. Vincenzo Ugo Soleri
Milano (MI)
Pz di 80 anni. presenta dolore e ascesso gengivale in sede 23 per frattura coronale e radicolare si instaura terapia antibiotica Augmentin 1 gr. 2 volte al di'.Dopo 3 giorni in sedazione cosciente si estra e radice con piezo , e dopo accurato curettage osseo si inserisce impianto STRAUMANN Roxolid TE 10 mm. ,nel difetto osseo vestibolare viene inserito BIO-OSS e MEMBRANA riassorbibile. Sutura estroflettente .Rocefin 1 gr. im per 6 giorni
aAVULSIONE RADICE FRATTURATA CON PIEZO
PREPARAZIONE OSSO PER RIGENERAZINE DIFETTO
INNESTO IMPIANTO STAUMANN TE ROXOLID e BIOSS
POSIZIONAMENTO MEMBRANA dopo passivazione lembo
SUTURA CONTINUA ESTROFLETTENTE
Dentista Sardegna, Cagliari
Vedi la scheda
Dentista Toscana, Pisa
Vedi la scheda
Dentista Lombardia, Milano
Vedi la scheda
Dentista Campania, Napoli
Vedi la scheda
Dentista Marche, Ancona
Vedi la scheda