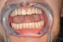
Nel caso clinico in questione ci troviamo di fronte ad un paziente che presenta una grave atrofia ossea delle ossa mascellare e mandibolare. In questi casi clinici le eventuali protesi mobili sono molto instabili e tendono a spostarsi durante la masticazione o addirittura soltanto nei movimenti del parlare.E' ovvio che si tratta di una situazione particolarmente difficile da affrontare non potendo inserire impianti tradizionali per una protesi fissa.In questi casi si può risolvere brillantemente il problema utilizzando dei minimpianti di diamentro assai ridotto che hanno il compito e la funzione di fermare e stabilizzare le protesi mobili in modo da consentire al paziente una qualità di vita ottimale riuscendo a parlare e masticare normalmente.L'intervento di inserimento dei minimpianti è piuttosto semplice e si esegue in studio in pochi minuti ed il paziente esce dallo studio dopo poco tempo con le protesi ferme e stabili.
Inserimento di impianti per protesi odontoiatriche in caso di grave atrofia ossea.
Caso clinico di grave atrofia ossea risolto con inserimento di minimpianti per stabilizzare protesi mobili
TAG: atrofia ossea







Dentista Marche, Fermo
Vedi la scheda
Dentista Marche, Ascoli Piceno
Vedi la scheda
Dentista Sicilia, Messina
Vedi la scheda
Dentista Sicilia, Catania
Vedi la scheda
Dentista Sardegna, Sassari
Vedi la scheda