L'implantologia offre oggi molteplici possibilità di riabilitazione protesica nel cavo orale, prima fondamentalmente impensabili ed inattuabili. Il tutto, se ovviamente eseguito con le metodiche corrette e rispettando le linee guida, offre oramai una prognosi assolutamente favorevole ed elevata predicibilità nel tempo (il successo clinico di queste riabilitazioni supera il 90%).
Oltre ai numerosi casi di riabilitazioni implanto - protesiche estremamente complessi ed articolati che vengono eseguiti su numerosi pazienti (riabilitazioni complete del cavo orale), l'implantologia quotidiana vive ed offre anche una serie di casi clinici definibili più "semplici" (la pianificazione deve sempre e comunque essere corretta e dettagliata e l'operatore molto preparato ed attrezzato) e meno invasivi (sostituzione di elementi dentari singoli o arcate parziali), ma altrettanto utili ed estetico - funzionali per il paziente su cui vengono eseguiti.
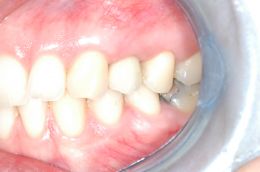
Qui di seguito riporto un caso clinico relativo ad un intervento di implantologia immediata post - estrattiva con carico immediato non funzionale: estrazione elemento dentario, inserimento immediato di un impianto in sostituzione, protesizzazione immediata dell'impianto con pilastro in titanio e corona provvisoria (in assenza di carico occlusale.
Al paziente in questione è stato diagnosticata una frattura corono - radicolare completa del primo premolare superiore sinistro (24), con prognosi infausta per l'elemento dentario stesso. Il paziente era in buona salute generale (nessuna patologia cronica di rilievo nè terapia farmacologiche significative in corso rilevate all'anamnesi), collaborante e motivato (aspetto estetico molto importante oltre che funzionale in questo caso). Alla visita clinica lo status dento - parodontale del paziente appariva nel complesso buono (dentatura praticamente completa - assenza di flogosi gengivale - buon livello di igiene orale - assenza di parafunzioni di rilievo). Il paziente come tale rappresentava quindi il candidato ideale per un intervento di implantologia finalizzato a sostituire il dente che doveva essere estratto. Gli esami radiografici mirati (prima panoramica dentale e quindi Tac Dentale) davano esito positivo sulla disponibilità ossea nel sito previsto per l'intervento di implantologia. D'accordo col paziente, previa dettagliata valutazione e spiegazione allo stesso del tipo di intervento, si è optato per l'estrazione del 24 e l'inserimento contestuale di un impianto in titanio (implantologia post - estrattiva immediata). Dopo aver eseguito l'estrazione (nel massimo rispetto dell'alveolo) ed aver quindi inserito l'impianto, si è avuta la conferma le condizioni di inserimento ed avvitamento dell'impianto stesso (torque adeguato) erano idonee ad impostare su di esso una immediata riabilitazione protesica, avvitando sopra all'impianto un pilastro in titanio e cementando su di esso una corona provvisoria gnatologica opportunamente ribasata per condizionare correttamente i tessuti molli (corona precedentemente preparata, dato che si supponeva, dalle valutazioni cliniche e radiografiche, che il paziente fosse idoneo a questo tipo di riabilitazione), lasciata libera dai contatti occlusali in massima intercuspidazione e lateralità (carico immediato non funzionale). Alla rimozione delle suture, la gengiva appariva in buone condizioni ed anche l'estetica dell'elemento protesico era più che soddisfacente.











Dentista Marche, Pesaro Urbino
Vedi la scheda
Dentista Toscana, Firenze
Vedi la scheda
Dentista Emilia Romagna, Piacenza
Vedi la scheda
Dentista Piemonte, Alessandria
Vedi la scheda
Dentista Basilicata, Matera
Vedi la scheda