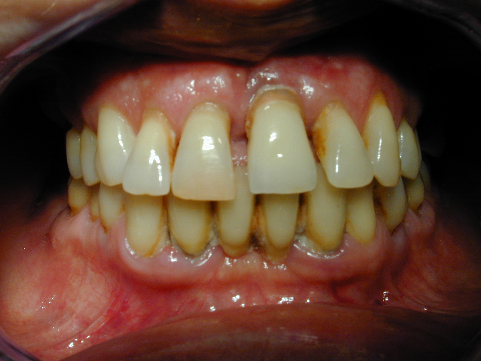
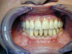
Trattamento implanto protesico a carico immediato su paziente con problemi parodontali.
Trattamento implanto protesico a carico immediato su paziente con problemi parodontali.
Implantologia a carico immediato
TAG: Implantologia a carico immediato









Dentista Campania, Napoli
Vedi la scheda
Dentista Lazio, Roma
Vedi la scheda
Dentista Lombardia, Varese
Vedi la scheda
Dentista Emilia Romagna, Rimini
Vedi la scheda
Dentista Friuli Venezia Giulia, Gorizia
Vedi la scheda