Implantologia
by
Studio Odontoiatrico Associato Dr. M. Iancu P. e Dott.ssa L. Marchione
09-12-2011
2888 visualizzazioni
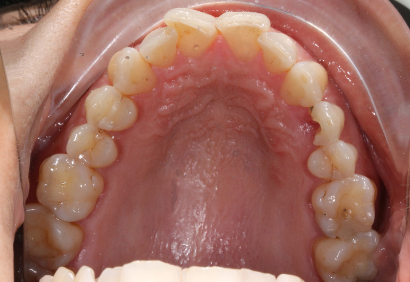
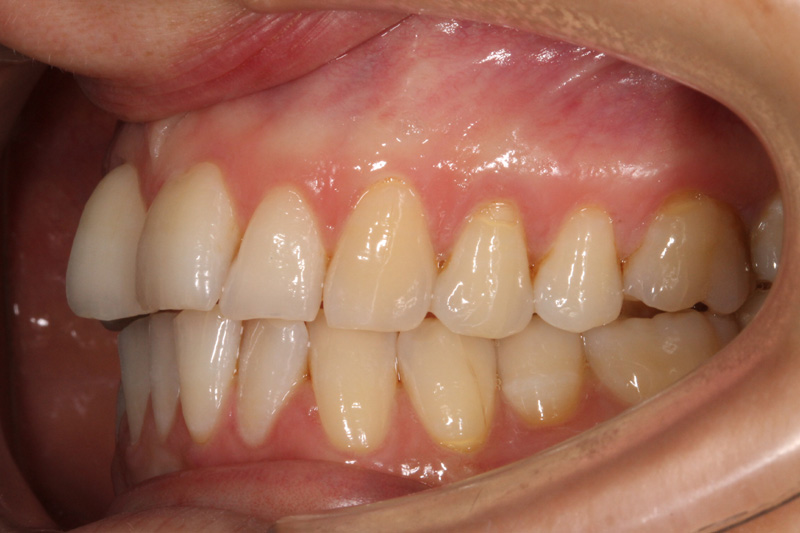
La paziente si presenta alla nostra osservazione con una frattura verticale di un primo premolare superiore.
Nella seduta d'uregenza sotto anestesia viene estratto il pezzo di radice fratturato ed eseguita un pulpectomia totale della polpa.
A distanza di qualche giorno viene esguita l'estrazione con l'aiuto di del Soniflex (Komet) con le rispettive punte al fine di non danneggiare l'osso corticale.
L'impianto inserito dopo l'estrazione è un Starumann Tapered Effect di 4,1 mm di diametro e 12 mm di lunghezza.
A causa di un gap marginale > di 2 mm viene ritenuto necessario un riempimento con osso sintetico, copertura con una spugna di collageno e sutura con un punto continuo incorciato.
Sono mostrate le Rx prima e dopo l'intervento.
Nella seduta d'uregenza sotto anestesia viene estratto il pezzo di radice fratturato ed eseguita un pulpectomia totale della polpa.
A distanza di qualche giorno viene esguita l'estrazione con l'aiuto di del Soniflex (Komet) con le rispettive punte al fine di non danneggiare l'osso corticale.
L'impianto inserito dopo l'estrazione è un Starumann Tapered Effect di 4,1 mm di diametro e 12 mm di lunghezza.
A causa di un gap marginale > di 2 mm viene ritenuto necessario un riempimento con osso sintetico, copertura con una spugna di collageno e sutura con un punto continuo incorciato.
Sono mostrate le Rx prima e dopo l'intervento.


.jpg)
.jpg)
.jpg)
.jpg)
.jpg)
.jpg)
.jpg)
.jpg)
.jpg)
.jpg)
.jpg)
.jpg)
.jpg)
.jpg)
.jpg)
.jpg)
.jpg)
.jpg)
.jpg)
.jpg)



Dentista Lazio, Roma
Vedi la scheda
Dentista Veneto, Treviso
Vedi la scheda
Dentista Lazio, Roma
Vedi la scheda
Dentista Toscana, Grosseto
Vedi la scheda
Dentista Trentino Alto Adige, Bolzano
Vedi la scheda