Case Report
Riabilitazione Implantare post-estrattiva immediata con tecnica flapless associata a terapia rigenerativa (Sintlife Putty -Idrossiapatite arrichita di magnesio MHA)
Introduzione
Le esigenze estetiche, funzionali e masticatorie, impongono al Clinico una immediata riabilitazione in caso di avulsione nei settori antero-superiori, per cui il trattamento implantare è la soluzione piu’valida, come alternativa alla protesi fissa con la compromissione di altri elementi dentari.
Riassunto
L’intercettazione della patologia dentale con conseguente avulsione, evita la persistenza di processi infiammatori che potrebbero creare difetti della corticale ossea vestibolare e delle pareti ossee mesio-distali;
Seguirà l’inserimento dell’Impianto Premium (Sweden&Martina)
ø 4,25 h.13mm.con tecnica chirurgica flappless (senza lembo) con l’ausilio di materiale riempitivo come terapia rigenerativa, quale il Sintlife Putty;
(MHA Idrossiapatite arrichita di magnesio)
Sintlife Putty(MHA) – Sutura Polimid – Impianto Premium
Materiali e Metodi
Si presenta alla mia osservazione, un paziente di anni 59, di sesso maschile non fumatore, buona igiene, un biotipo gengivale spesso, con una frattura verticale del dente 2.4 in arcata superiore, già trattatato endodonticamente, che presenta dolore, gonfiore e fastidio, lesione coronale da evidente eziologia traumatica .
Successivamente si è provveduto al raschiamento alveolare con cucchiaio
di Hemingway n° 2 e pulizia dello stesso alveolo da eventuali frustoli ossei,
con relativa radiografia endorale rvg di controllo del sito post estrattivo;
La procedura chirurgica preimplantare è stata eseguita con una fresa pilota di
ø 2,00 come prefresatura con tacche da 13 mm. di profondità, per creare una
strada piu’ palatale all’alveolo anatomico , e con frese intermedie di diametro
ø 2,50- 3,30 –3,75 - 4,25 mm. con tacche di riferimento da 13 mm. in altezza,
tutte in sequenza graduale crescente;
Frese chirurgiche calibrate ad irrigazione interna, con l'ausilio di un micromotore da Implantologia a basso regime di giri (375 rpm.) con un torque pari a 56 Newton ( forza su cm2) con utilizzo di acqua fisiologica (sodio cloruro 0,9%) raffreddata, per evitare surriscaldamento e necrosi ossea.
Preparato il letto implantare, è stato zeppato con l’ausilio di una siringa sterile
pre-confezionata, il biomateriale riempitivo di cavità post-estrattive Sintlife
Putty ( MHA Idrossiapatite arricchita di magnesio) ad alta viscosità, puo’essere
facilmente modellata e stabilizzata nella cavità anche in presenza di sangue;
Successivamente è stato inserito ed avvitato manualmente l’Impianto Premium
ø 4,25 H.13mm. autofilettante in titanio grado 2 con superficie mordenzata per
favorire l’adesione degli osteoblasti, e l’interazione delle cellule dei tessuti
circostanti , affondandolo piu palatalmente dell’alveolo chirurgico oltre 3 mm.
nell’osso basale;
L’avvitatore digitale lungo, con connessione esagonale per il mounter, mi ha permesso la ricerca della stabilità primaria dell’impianto, quale intimo contatto tra superficie implantare ed osso corticale, imponendo un lieve torque manuale, dettato dalla percezione tattile dell’operatore clinico;
Con un avvitatore manuale si è provveduto a svitare il mounter dall’impianto
ed evidenziare il posizionamento in cresta ed il collo lucido della parte superiore
dello stesso, su’ cui verrà inserita la vite tappo e sutura del lembo mucoperiosteo.
La sutura utilizzata quale Polimid (Sweden & Martina) 3/8C con filo 4-0,
non riassorbibile in poliammide, presenta una elevata resistenza tensile ed atraumaticità superficiale e maneggevolezza e facilità al nodo per suturazione
di lembi sottili.
Risultati
Terminato l’intervento chirurgico implantare, è stata effettuata una radiografia endorale (rx rvg ) di controllo, in cui emerge un sottile spazio di uno trasparente peri-implantare e di materiale riempitivo Sint Life Putty (MHA);
A distanza di 8 giorni dall’intervento, sono stati rimossi i punti di sutura dal lembo mucoso, in cui emerge l’esposizione della vite tappo crestale, contornato da buona gengiva aderente, che potrà continuare a guarire per seconda intenzione, si consiglia il mantenimento quotidiano della Igiene Orale con Antibatterico spray di Clorexidina gluconato (0,2%) e gel di Aminogam (Errekappa Euroterapici) quale coadiuvante nei processi di rigenerazione della mucosa orale.
Discussioni
Un’attenta analisi prechirurgica, una giusta valutazione della qualità e quantità ossea, un’ottimizzazione della diagnostica radiologica nel pre e post-intervento, una valida scelta dei Biomateriali rigenerativi appropriata al caso clinico, possono aumentare la predicibilità implantare.
In questo Case Report si è preferito utilizzare come tecnica protesica un successivo “Carico Ritardato”ossia il tempo d’attesa tra la prima fase chirurgica e la connessione protesica provvisoria o/e definitiva, a distanza di tempo di almeno 4-6 mesi, affinchè si possa ottenere una giusta e dovuta Osteointegrazione secondaria.
Conclusioni
L’intercettamento della lesione traumatica corono-radicolare con un biotipo gengivale spesso, ha permesso la riabilitazione implantare avendo una adeguata piattaforma ed una specifica morfologia dell’Impianto Premium cilindrico (Sweden & Martina) in siti post-estrattivi.
In questo Caso Clinico i miei obbiettivi sono stati quelli :
A)Valutare l’influenza delle dimensioni dell’impianto e della sua morfologia (Cilindrica) sull’osteointegrazione in siti post-estrattivi immediati;
B) di valutare l’influenza del posizionamento piu’ profondo e piu’ palatale dell’Impianto cilindrico (Sweden & Martina) sull’osteointegrazione in siti post-estrattivi,
C) di verificare l’utilizzo del biomateriale Sintilife Putty quale Idrossiapatite arricchita di magnesio (MHA)(Sweden & Martina) per riempire i difetti perimplantari e valutarne l’influenza sulla preservazione del contorno della corticale ossea residua e sull’osteointegrazione a distanza di circa 4-6 mesi, intorno all’impianto post-estrattivo immediato.
D) di osservare la guarigione dei tessuti molli intorno ad impianti post-estrattivi immediati con tecnica flappless ( senza lembo a cielo chiuso) inseriti senza incisioni o lembi mucosi.
Durante il processo di osteointgrazione, il paziente è stato oggetto di controllo preventivo, nel mantenimento corretto per una buona igiene orale e per osservare il processo di guarigione e di rigenerazione dei tessuti molli, che sono stati trattati con gel Aminogan (Errekappa Euroterapici), quale coadiuvante della mucosa orale, che in questo caso clinico, ha contribuito notevolmente alla ricrescita del tessuto gengivale intorno alla vite tappo chirurgica, evidenziando la sua essenzialità nella chirurgia rigenerativa implantare e pre-protesica.
Dopo circa 6 mesi, periodo necessario per una giusta e sufficiente
osteointegrazione secondaria, è stata rimossa la vite tappo chirurgica,
ed esposto l’impianto in cresta per condizionare i tessuti molli circostanti
al collare di emergenza;
A distanza di circa 10 giorni, per la presa dell’impronta monofasica, e stato
preparato un cucchiaio anatomico in resina, e per mezzo del transfer pick-up
di riferimento all’impianto 4,25 mm. sottostante, che viene fissato con una vite passante;
L’impronta in silicone Sky One (Sweden & Martina) polivinilsilossano monofasico,
viene inviato in laboratorio per lo sviluppo del modello master in gesso e del
douto analogo di riferimento, comprensivo di moncone in titanio,
che verrà parallelizzato, modellato in cera e fuso;
Viene riesposto l’impianto che portava la trasmucosa di guarigione, ed avvitato il moncone in titanio paralellizzato , cementiamo l’elemento in ceramica con Stone Implant
(Sweden & Martina) e controlliamo radiograficamente le connessioni impianto-moncone
ed i movimenti funzionali ed articolari con i denti antagonisti.
Concludo questo Case Report, potendo dare le mie risposte quali:
A) L’intercettamento della lesione traumatica corono-radicolare con un biotipo gengivale spesso, ha permesso la riabilitazione implantare avendo una adeguata piattaforma ed una specifica morfologia dell’Impianto Premium cilindrico (Sweden & Martina) in siti post-estrattivi, fornisce una buona risposta biologica, con formazione di tessuto duro adiacente.
B) Il posizionamento di un impianto post-estrattivo, più profondo e più palatale dell’alveolo anatomico ,risulta essere quello più valido, per ottenere maggior stabilità primaria osso corticale-impianto.
C) L’utilizzo del Sintlife Putty (MHA) quale idrossiapatite arricchita di magnesio, per riempire i difetti perimplantari in siti post-estrattivi immediati, sembra utilissimo per compensare il gap anatomico alveolo-impianto, ed aiuta nel processo di guarigione, a mantenere il profilo della cresta ossea perimplantare, meglio che in assenza di biomateriale.
D) La tecnica chirurgica flappless, risulta essere meno invasiva e meno traumatica, senza necessità di allestire un lembo chirurgico, e quindi maggior confort per il paziente, con rispetto dell’ampiezza biologica e dei tessuti molli peri-implantari.
Gli impianti post-estrattivi immediati associati a tecnica flapless, possono offrire risultati estetici,senza necessità di ulteriore chirurgica mucogengivale pre-protesica.
Pertanto, i risultati clinici ottenuti, evidenziano la validità di questa procedura implanto-protesica.
Riabilitazione Implantare post-estrattiva immediata con tecnica flapless associata a terapia rigenerativa (Sintlife Putty -Idrossiapatite arrichita di magnesio MHA)
Introduzione
Le esigenze estetiche, funzionali e masticatorie, impongono al Clinico una immediata riabilitazione in caso di avulsione nei settori antero-superiori, per cui il trattamento implantare è la soluzione piu’valida, come alternativa alla protesi fissa con la compromissione di altri elementi dentari.
Riassunto
L’intercettazione della patologia dentale con conseguente avulsione, evita la persistenza di processi infiammatori che potrebbero creare difetti della corticale ossea vestibolare e delle pareti ossee mesio-distali;
Seguirà l’inserimento dell’Impianto Premium (Sweden&Martina)
ø 4,25 h.13mm.con tecnica chirurgica flappless (senza lembo) con l’ausilio di materiale riempitivo come terapia rigenerativa, quale il Sintlife Putty;
(MHA Idrossiapatite arrichita di magnesio)
![]() |
Materiali e Metodi
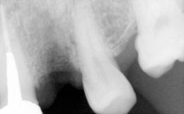
Si presenta alla mia osservazione, un paziente di anni 59, di sesso maschile non fumatore, buona igiene, un biotipo gengivale spesso, con una frattura verticale del dente 2.4 in arcata superiore, già trattatato endodonticamente, che presenta dolore, gonfiore e fastidio, lesione coronale da evidente eziologia traumatica .
![]() |
| Lesione traumatica del 24 Rx endorale con frattura radicolare |
![]() |
| Rx endorale con frattura radicolare |
TRATTAMENTO CHIRURGICO
É doveroso, per una corretta pianificazione del trattamento, raggruppare le varie situazioni cliniche al fine di poter dare delle linee guida dell'intervento chirurgico, e prescrivere una terapia farmacologica adeguata:
- Con terapia antibiotica di sostegno di Augmentin da 1gr. bustine ogni 12 ore, da 12 ore prima dell'intervento e per i 5 gg successivi, come copertura alle eventuali infezioni post-chirurgiche, al fine di evitare la compromissione del processo di osteointegrazione;
- Anestesia di superficie di Mepivacaina con adrenalina forte 1:100 000, previa iodizzazione di tutta l'emiarcata da trattare si è proceduto all’avulsione dei residui radicolari con tecnica chirurgica microinvasiva flappless (senza lembo a cielo chiuso ), cercando di salvaguardare la corticale ossea vestibolare e le pareti mesio-distali;
![]() |
Successivamente si è provveduto al raschiamento alveolare con cucchiaio
di Hemingway n° 2 e pulizia dello stesso alveolo da eventuali frustoli ossei,
con relativa radiografia endorale rvg di controllo del sito post estrattivo;
![]() ![]() | |
La procedura chirurgica preimplantare è stata eseguita con una fresa pilota di
ø 2,00 come prefresatura con tacche da 13 mm. di profondità, per creare una
strada piu’ palatale all’alveolo anatomico , e con frese intermedie di diametro
ø 2,50- 3,30 –3,75 - 4,25 mm. con tacche di riferimento da 13 mm. in altezza,
tutte in sequenza graduale crescente;
Frese chirurgiche calibrate ad irrigazione interna, con l'ausilio di un micromotore da Implantologia a basso regime di giri (375 rpm.) con un torque pari a 56 Newton ( forza su cm2) con utilizzo di acqua fisiologica (sodio cloruro 0,9%) raffreddata, per evitare surriscaldamento e necrosi ossea.
![]() | |
![]() |
Preparato il letto implantare, è stato zeppato con l’ausilio di una siringa sterile
pre-confezionata, il biomateriale riempitivo di cavità post-estrattive Sintlife
Putty ( MHA Idrossiapatite arricchita di magnesio) ad alta viscosità, puo’essere
facilmente modellata e stabilizzata nella cavità anche in presenza di sangue;
![]() |
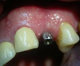
Successivamente è stato inserito ed avvitato manualmente l’Impianto Premium
ø 4,25 H.13mm. autofilettante in titanio grado 2 con superficie mordenzata per
favorire l’adesione degli osteoblasti, e l’interazione delle cellule dei tessuti
circostanti , affondandolo piu palatalmente dell’alveolo chirurgico oltre 3 mm.
nell’osso basale;
![]() ![]() |
L’avvitatore digitale lungo, con connessione esagonale per il mounter, mi ha permesso la ricerca della stabilità primaria dell’impianto, quale intimo contatto tra superficie implantare ed osso corticale, imponendo un lieve torque manuale, dettato dalla percezione tattile dell’operatore clinico;
Con un avvitatore manuale si è provveduto a svitare il mounter dall’impianto
ed evidenziare il posizionamento in cresta ed il collo lucido della parte superiore
dello stesso, su’ cui verrà inserita la vite tappo e sutura del lembo mucoperiosteo.
![]() | |
![]() |
La sutura utilizzata quale Polimid (Sweden & Martina) 3/8C con filo 4-0,
non riassorbibile in poliammide, presenta una elevata resistenza tensile ed atraumaticità superficiale e maneggevolezza e facilità al nodo per suturazione
di lembi sottili.
Risultati
Terminato l’intervento chirurgico implantare, è stata effettuata una radiografia endorale (rx rvg ) di controllo, in cui emerge un sottile spazio di uno trasparente peri-implantare e di materiale riempitivo Sint Life Putty (MHA);
![]() |
A distanza di 8 giorni dall’intervento, sono stati rimossi i punti di sutura dal lembo mucoso, in cui emerge l’esposizione della vite tappo crestale, contornato da buona gengiva aderente, che potrà continuare a guarire per seconda intenzione, si consiglia il mantenimento quotidiano della Igiene Orale con Antibatterico spray di Clorexidina gluconato (0,2%) e gel di Aminogam (Errekappa Euroterapici) quale coadiuvante nei processi di rigenerazione della mucosa orale.
Discussioni
Un’attenta analisi prechirurgica, una giusta valutazione della qualità e quantità ossea, un’ottimizzazione della diagnostica radiologica nel pre e post-intervento, una valida scelta dei Biomateriali rigenerativi appropriata al caso clinico, possono aumentare la predicibilità implantare.
In questo Case Report si è preferito utilizzare come tecnica protesica un successivo “Carico Ritardato”ossia il tempo d’attesa tra la prima fase chirurgica e la connessione protesica provvisoria o/e definitiva, a distanza di tempo di almeno 4-6 mesi, affinchè si possa ottenere una giusta e dovuta Osteointegrazione secondaria.
Conclusioni
L’intercettamento della lesione traumatica corono-radicolare con un biotipo gengivale spesso, ha permesso la riabilitazione implantare avendo una adeguata piattaforma ed una specifica morfologia dell’Impianto Premium cilindrico (Sweden & Martina) in siti post-estrattivi.
In questo Caso Clinico i miei obbiettivi sono stati quelli :
A)Valutare l’influenza delle dimensioni dell’impianto e della sua morfologia (Cilindrica) sull’osteointegrazione in siti post-estrattivi immediati;
B) di valutare l’influenza del posizionamento piu’ profondo e piu’ palatale dell’Impianto cilindrico (Sweden & Martina) sull’osteointegrazione in siti post-estrattivi,
C) di verificare l’utilizzo del biomateriale Sintilife Putty quale Idrossiapatite arricchita di magnesio (MHA)(Sweden & Martina) per riempire i difetti perimplantari e valutarne l’influenza sulla preservazione del contorno della corticale ossea residua e sull’osteointegrazione a distanza di circa 4-6 mesi, intorno all’impianto post-estrattivo immediato.
D) di osservare la guarigione dei tessuti molli intorno ad impianti post-estrattivi immediati con tecnica flappless ( senza lembo a cielo chiuso) inseriti senza incisioni o lembi mucosi.
Durante il processo di osteointgrazione, il paziente è stato oggetto di controllo preventivo, nel mantenimento corretto per una buona igiene orale e per osservare il processo di guarigione e di rigenerazione dei tessuti molli, che sono stati trattati con gel Aminogan (Errekappa Euroterapici), quale coadiuvante della mucosa orale, che in questo caso clinico, ha contribuito notevolmente alla ricrescita del tessuto gengivale intorno alla vite tappo chirurgica, evidenziando la sua essenzialità nella chirurgia rigenerativa implantare e pre-protesica.
![]() | |
![]() |
Dopo circa 6 mesi, periodo necessario per una giusta e sufficiente
osteointegrazione secondaria, è stata rimossa la vite tappo chirurgica,
ed esposto l’impianto in cresta per condizionare i tessuti molli circostanti
al collare di emergenza;
![]() |
A distanza di circa 10 giorni, per la presa dell’impronta monofasica, e stato
preparato un cucchiaio anatomico in resina, e per mezzo del transfer pick-up
di riferimento all’impianto 4,25 mm. sottostante, che viene fissato con una vite passante;
![]() |
L’impronta in silicone Sky One (Sweden & Martina) polivinilsilossano monofasico,
viene inviato in laboratorio per lo sviluppo del modello master in gesso e del
douto analogo di riferimento, comprensivo di moncone in titanio,
che verrà parallelizzato, modellato in cera e fuso;
![]() |
Viene riesposto l’impianto che portava la trasmucosa di guarigione, ed avvitato il moncone in titanio paralellizzato , cementiamo l’elemento in ceramica con Stone Implant
(Sweden & Martina) e controlliamo radiograficamente le connessioni impianto-moncone
ed i movimenti funzionali ed articolari con i denti antagonisti.
![]() |
Concludo questo Case Report, potendo dare le mie risposte quali:
A) L’intercettamento della lesione traumatica corono-radicolare con un biotipo gengivale spesso, ha permesso la riabilitazione implantare avendo una adeguata piattaforma ed una specifica morfologia dell’Impianto Premium cilindrico (Sweden & Martina) in siti post-estrattivi, fornisce una buona risposta biologica, con formazione di tessuto duro adiacente.
B) Il posizionamento di un impianto post-estrattivo, più profondo e più palatale dell’alveolo anatomico ,risulta essere quello più valido, per ottenere maggior stabilità primaria osso corticale-impianto.
C) L’utilizzo del Sintlife Putty (MHA) quale idrossiapatite arricchita di magnesio, per riempire i difetti perimplantari in siti post-estrattivi immediati, sembra utilissimo per compensare il gap anatomico alveolo-impianto, ed aiuta nel processo di guarigione, a mantenere il profilo della cresta ossea perimplantare, meglio che in assenza di biomateriale.
D) La tecnica chirurgica flappless, risulta essere meno invasiva e meno traumatica, senza necessità di allestire un lembo chirurgico, e quindi maggior confort per il paziente, con rispetto dell’ampiezza biologica e dei tessuti molli peri-implantari.
Gli impianti post-estrattivi immediati associati a tecnica flapless, possono offrire risultati estetici,senza necessità di ulteriore chirurgica mucogengivale pre-protesica.
Pertanto, i risultati clinici ottenuti, evidenziano la validità di questa procedura implanto-protesica.


























































Dentista Emilia Romagna, Reggio Emilia
Vedi la scheda
Dentista Abruzzo, Chieti
Vedi la scheda
Dentista Puglia, Bari
Vedi la scheda
Dentista Veneto, Vicenza
Vedi la scheda
Dentista Sicilia, Siracusa
Vedi la scheda