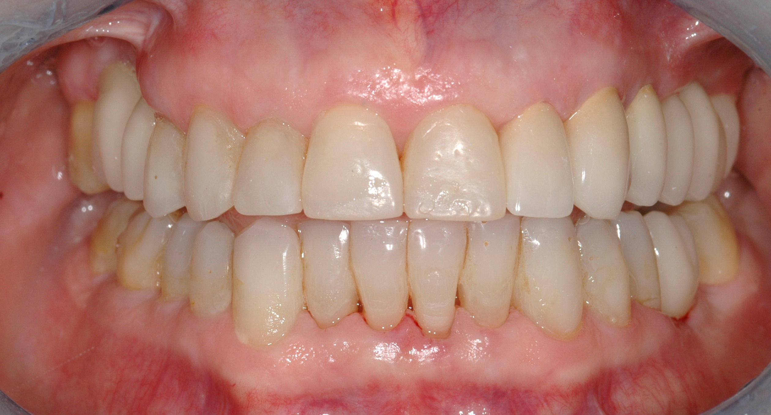
Dopo tre giorni dall'inserimento degli impianti senza bisturi consegna protesi fissa definitiva. Implantologia moderna a carico immediato senza l'uso del bisturi.
Implantologia a carico immediato senza bisturi
A tre giorni dall'inserimento degli impianti senza bisturi consegna protesi fissa definitiva
TAG: Implantologia a carico immediato senza bisturi






.jpg)
.jpg)

Dentista Basilicata, Matera
Vedi la scheda
Dentista Campania, Napoli
Vedi la scheda
Dentista Puglia, Barletta Andria Trani
Vedi la scheda
Dentista Marche, Fermo
Vedi la scheda
Dentista Emilia Romagna, Piacenza
Vedi la scheda