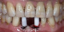
Estrazione di 32 e 42 inserimento di 2 impianti di 3.1 mm monocomponenti e caricati immediatamente in piena occlusione, inserimento dopo tre mesi delle corone definitive, contollo a distanza di tre anni con rx che mostra una crescita ossea interimplantare. In creste particolarmente sottili sicuramenti i cosidettti miniimpianti presentano una serie di vantaggi. Il limite maggiore e' sicuramente rappresentato dalle notevoli difficolta' di protesizzazione definitiva.
Carico immediato parziale con mini impianti intermezzo megagen postesrtattivo
carico immediato parziale postesrtattivo
TAG: carico immediato parziale














Dentista Emilia Romagna, Modena
Vedi la scheda
Dentista Piemonte, Torino
Vedi la scheda
Dentista Lombardia, Milano
Vedi la scheda
Dentista Lombardia, Monza e Brianza
Vedi la scheda
Dentista Campania, Napoli
Vedi la scheda