Menu

Carico immediato con tecnica syncone ankylos friadent al mascellare superiore

Carico immediato al mascellare superiore con 4 impianti

Carico immediato con tecnica syncone ankylos friadent al mascellare superiore by Dott. Michele Piombino 27-04-2011 5619 visualizzazioni
Inserimento di 4 impianti ankylos al mascellare superiore e caricati immediatamente con tecnica syncone friadent dentsply.

Il paziente, in meno di 2 ore, potrà vedersi trasformare la sua protesi mobile in fissa.


Scritto da Dott. Michele Piombino
Caserta (CE)

paziente edentulo al mascellare superiore,e'possibile notare la grossa discrpanza tra il mascellare superiore ed inferiore
si nota la discontinuita' della cresta e la presenza di palato molle
impianti inseriti e' possibile notare i difetti infraoosi
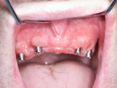
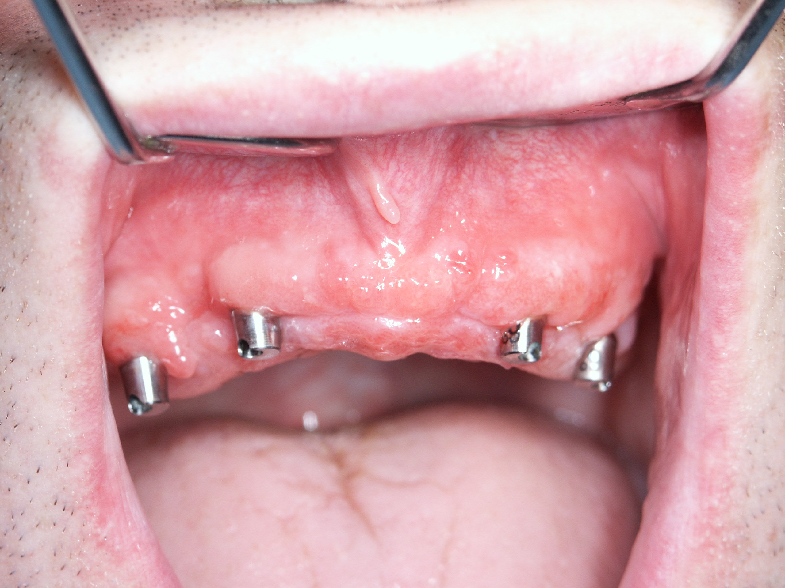
impianti inseriti
i quattro impianti con i rispettivi monconi e la sutura
la protesi inserita e caricata immediatamente
controllo a distanza di 8 anni

TAG: Carico immediato con tecnica syncone ankylos friad