Implantologia
by
Studio Odontoiatrico Associato Dr. M. Iancu P. e Dott.ssa L. Marchione
01-02-2011
4178 visualizzazioni
Soggetto di sesso maschile che si è rivolto al nostro studio per la risoluzione di una condizione di edentulia inferiore. Dopo un serie di estrazioni di residui radicolari è stata approntata una protesi provvisoria. Vi era però la necessità di recuperare lo spazio in zona molare 4.6 per l'inserimento di un impianto osteointegrato.
Non era possibile utilizzare una apparecchiatura multi brackets a causa sia della protesi mobile che dell'unico dente in posizione 4.5.
Trattamento: E' stata inserita una minivite ortodontica in posizione 4.8 ed eseguita una trazione diretta in senso distale sul 4.7. Il recupero di spazio ha richiesto 5 mesi.
1 volta al mese abbiamo riattivato la trazione.
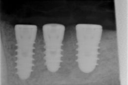
Il paziente è in attesa di impianti nel 4 quadrante mentre nel 3 quadrante sono stati inseriti i primi 3. Aggiorneremo le foto a caso finito.
Secondo noi questa risulta essere la procedura corretta per il recupero di spazio implantare in soggetti adulti prima di un trattamento implantare, correggendo la inclinazioni sbagliate con un uprighting ortodontico.
Caso condotto in collaborazione con la Dott.ssa Laura Marchione.
Non era possibile utilizzare una apparecchiatura multi brackets a causa sia della protesi mobile che dell'unico dente in posizione 4.5.
Trattamento: E' stata inserita una minivite ortodontica in posizione 4.8 ed eseguita una trazione diretta in senso distale sul 4.7. Il recupero di spazio ha richiesto 5 mesi.
1 volta al mese abbiamo riattivato la trazione.
Il paziente è in attesa di impianti nel 4 quadrante mentre nel 3 quadrante sono stati inseriti i primi 3. Aggiorneremo le foto a caso finito.
Secondo noi questa risulta essere la procedura corretta per il recupero di spazio implantare in soggetti adulti prima di un trattamento implantare, correggendo la inclinazioni sbagliate con un uprighting ortodontico.
Caso condotto in collaborazione con la Dott.ssa Laura Marchione.


.jpg)
.jpg)

Dentista Puglia, Barletta Andria Trani
Vedi la scheda
Dentista Piemonte, Torino
Vedi la scheda
Dentista Basilicata, Potenza
Vedi la scheda
Dentista Lazio, Roma
Vedi la scheda
Dentista Toscana, Firenze
Vedi la scheda