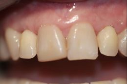
La paziente presenta da anni un Maryland per la mancanza degli incisivi laterali superiori. Chiede la possibilitò di posizionare degli impianti nella stessa sede e il ripristino protesico ed estetico. La presenza di un notevole riassorbimento osseo vestibolare in corrispondenza degli elementi mancanti rende necessaria una rigenerazione ossea per dare un nuovo e piacevole sorriso.
Impianti dentali in zona estetica con rigenerazione ossea.
Agenesia degli incisivi laterali e ripristino con impianti e rigenerazione ossea.
TAG: impianti dentali













Dentista Toscana, Firenze
Vedi la scheda
Dentista Puglia, Taranto
Vedi la scheda
Dentista Sicilia, Palermo
Vedi la scheda
Dentista Marche, Ancona
Vedi la scheda
Dentista Campania, Avellino
Vedi la scheda