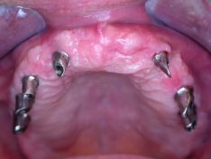
Il paziente è giunto alla mia osservazione con i soli 4 incisivi superiori, i quali presentavano una mobilità di terzo grado. Per questo si è resa necessaria l'estrazione. Il paziente è stato così sottoposto ad un intervento chirurgico implantologico in anestesia locale, in cui sono stati inseriti 7 impianti. Dopo 10 gg. sono state rimosse le suture e si è provveduto ad una protesi totale provvisoria. Dopo 12 settimane dalla chirurgia ho riaperto gli impianti e messo le viti di guarigione per il condizionamento dei tessuti. Attraverso una serie di passaggi, in tre settimane ho posizionato una protesi fissa in ceramica di 12 elementi.
Protesi totale superiore fissa su 7 impianti
Paziente uomo di anni 53 fumatore
TAG: Protesi totale superiore fissa su 7 impianti



Dentista Toscana, Massa Carrara
Vedi la scheda
Dentista Basilicata, Potenza
Vedi la scheda
Dentista Lazio, Roma
Vedi la scheda
Dentista Sicilia, Trapani
Vedi la scheda
Dentista Lazio, Roma
Vedi la scheda