Inserimento di impianti a carico immediato con l'ausilio del computer.
Scritto da Dott. Alberto PitinoTorino (TO)
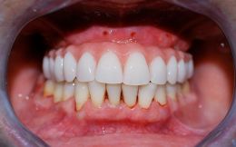
TAG: All-on-four con NobelGuide
Ricerca fra tutte le regioni Trova il dentista
Dentista Sardegna, Cagliari
Vedi la scheda
Dentista Calabria, Catanzaro
Vedi la scheda
Dentista Emilia Romagna, Reggio Emilia
Vedi la scheda
Dentista Abruzzo, L'Aquila
Vedi la scheda
Dentista Toscana, Grosseto
Vedi la scheda