Dott. Maurizio Cirulli
Dentista Bologna: www.dentista-a-bologna.it
Indirizzo: Viale Oriani, 4
Comune: Bologna
Cap: 40137
Telefono: 051 30 28 20
Laurea: Medicina e Chirurgia
N° iscrizione Ordine dei Medici: 74
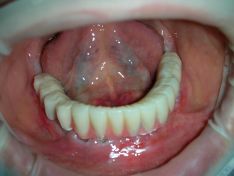
Paziente maschio di 60 anni, fortissimo fumatore, portatore di protesi totale mobile superiore e di protesi parziale scheletrata supportata da attacchi in 45-44-43, imprenditore molto impegnato, di alto profilo sociale, pochissimo tempo dedicabile alle terapie odontoiatriche per impegni professionali che lo portano a viaggiare il mondo frequentemente. Non avendo problemi economici accetta un preventivo importante per riabilitare in toto l'apparato stomato-gnatico tramite protesi impianto-supportata in metallo-ceramica.
Dopo le normali procedure diagnostiche preoperatorie (TAC, OPT, EO), si procede con la parte inferiore estraendo gli elementi 45-44-43 ed inserendo impianti postestrattivi ed in osso nativo con l'ausilio del centratore extraorale TOMEX sia nelle proiezioni antero/posteriori sia nelle proiezioni intraforaminali per un totale di 12 fixtures. Quindi si scelgono monconi preinclinati a 15° e 25° e si inseriscono nelle sedi implantari bloccandoli con viti protesiche. Si procede quindi alla solidarizzazione dei monconi tramite elettrosaldatura di due barre di cui una a sezione circolare ed una nastriforme(sincristallizzatrice ad argon). Vengono rilevete le impronte per il provvisorio fisso di precisione che verrà applicato il giorno seguente, il paziente viene accomiatato con un guscio provvisorio ritentivo per impacco chirurgico che funge da cemento. Viene prescritta una terapia per un mese con campi mgneto-elettrici a 50 Gauss per enfatizzare l'osteointegrazione.
Il giorno seguente viene applicato il provvisorio cementato con silicone per addizione caricato con clorexidina al 25%.
Dopo circa un mese si inseriscono con la stessa procedura 12 impianti bifasici nel mascellare superiore,praticando due piccoli rialzi di seno, sincristallizzazione e carico immediato.
Passati circa quattro mesi (tempo necessario per la guarigione dei 12 impianti del mascellare superiore) vengono rimossi i fissaggi saldati e si procede quindi alla normale procedura con impronte per monconi definitivi, nuovi provvisori e finalizzazione in metallo-ceramica. Questi ultimi passaggi vengono eseguiti contemporaneamente per le due arcate per un totale di 24 impianti.
Durante la fase di ossificazione si è avuta frattura sia del provvisorio inferiore durante un soggiorno ad Hong Kong, sia del superiore a Sao Paulo do Brazil, in entrambi i casi riparate da dentisti del luogo su mie indicazioni, dovute alla mancanza di controlli postoperatori e ad una masticazione senza troppi riguardi.



Dentista Lazio, Roma
Vedi la scheda
Dentista Trentino Alto Adige, Bolzano
Vedi la scheda
Dentista Emilia Romagna, Piacenza
Vedi la scheda
Dentista Toscana, Lucca
Vedi la scheda
Dentista Calabria, Catanzaro
Vedi la scheda