Implantologia
by
Dott. Luca Arduini
10-03-2009
2878 visualizzazioni
Impianto dopo estrazione del dente 4.5
Scritto da Dott. Luca Arduini
Pontecorvo (FR)
Posizionamento dell'impianto visione linguale con specchio rodiato.
Visione occlusale del posizionamento dell'impianto.
Posizionamento dell'impianto visione vestibolare con specchio rodiato
Visione vestibolare con specchio rodiato e posizionamento della corona sull'impianto.
Visione occlusale della copertura coronale dell'impianto.
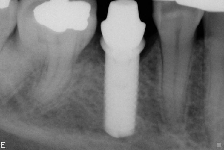
RX del posizionamento dell'impianto
RX controllo dell'impianto.
Dentista Calabria, Reggio Calabria
Vedi la scheda
Dentista Puglia, Barletta Andria Trani
Vedi la scheda
Dentista Veneto, Vicenza
Vedi la scheda
Dentista Campania, Napoli
Vedi la scheda
Dentista Toscana, Firenze
Vedi la scheda