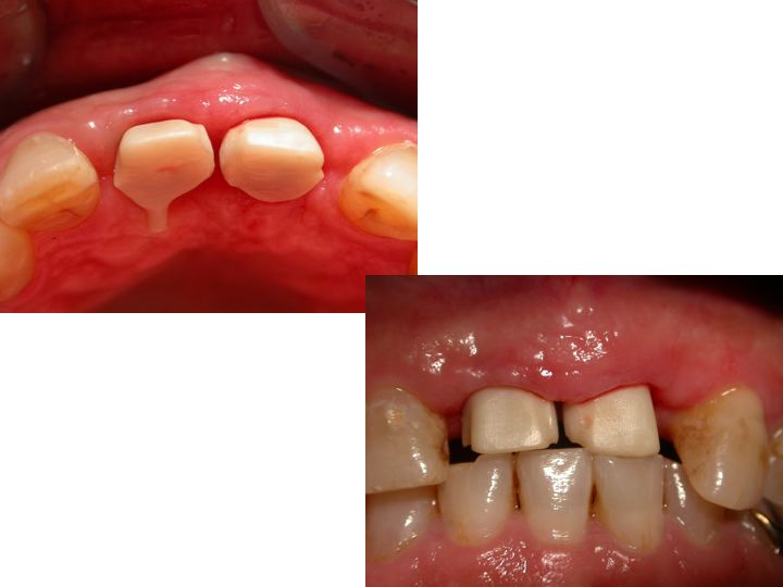
Split-crest technique associated to immediate implant positioning and temporising. Use of oral electro-welding to stabilize implants during healing time. A case report. Avvanzo P. Abstract Implant rehabilitation of the edentulous maxilla may be somewhat problematic because of anatomic situations involving insufficient bone thickness or mandibular teeth position. One approach in this situation is localized horizontal ridge augmentation with the split crest technique. This surgical approach allows the external cortical plate of the maxilla to be moved in a buccal direction to gain an increase in width to introduce implants of appropriate diameter and with an appropriate angle in spite of lower arch. We tried to associate split crest technique to immediate implant positioning and temporising using an oral electrowelder to stabilize implants during healing time. Introduction Bone resorption in anterior maxillar edentulous areas can be so important to affect implant diameter and position choice, which may not be ideal for the teeth to be replaced. The result can be a failing position and a smaller diameter than necessary. Another failing result is an insufficient esthetic aspect of the tooth-gingiva architecture being resorbed the washboard form of the flattened alveolar bone. If bone graft techniques are not considered, the first option treatment is the thikness augmentation separating the cortical plates and creating a space which can be filled with bone , bone substitutes or left opened using implants as space keeping devices. In all cases no load has to be applied(R) on the area. The Split crest technique is undoubtly an advantageous procedure to obtain a correct alveolar bone thickness in resorbed edentulous ridges avoiding in the same time bone grafts from donor sites reducing morbility for a second surgical area and diminishing the size of incisions in the first one. It takes advantage of the growth potential of bone when undergoes to osteogenetic distraction and it has the same healing pattern of extraction sites. Since the space between the two cortical plates is still not mature bone the standard protocol is to permit healing and maturing before implant placement. There are a lot of modifications to this technique regarding bone substitutes or direct implant positioning avoiding the direct load on the area. The technique explained in this case report schedules the use of conic, large screw, single stage implants, placed after the crest splitting and immediately temporised. In multiple implants positioning, to avoid micro-movements on immediate loaded implants a titanium bar has been electro-welded to the abutments temporarily, thus creating a solidarised system even stronger than single implants. Even if in this case report the cortical plates were thick and solid, the chance for micro movements was real, since implant restorations involved the upper central incisors and their ability to engrave food. Since it is quite difficult divert food incision to other teeth when such central teeth are involved in restoration, it was decided to use electro-spot-welding to solidarise implants.
Implantologia immediata contemporanea a split-crest (inglese)
Tecnica di solidarizzazione temporanea di impianti elettrosaldati inseriti in siti di split-crest
TAG: Implantologia immediata contemporanea a split-cres












Dentista Lombardia, Milano
Vedi la scheda
Dentista Lombardia, Monza e Brianza
Vedi la scheda
Dentista Lazio, Roma
Vedi la scheda
Dentista Trentino Alto Adige, Bolzano
Vedi la scheda
Dentista Piemonte, Torino
Vedi la scheda