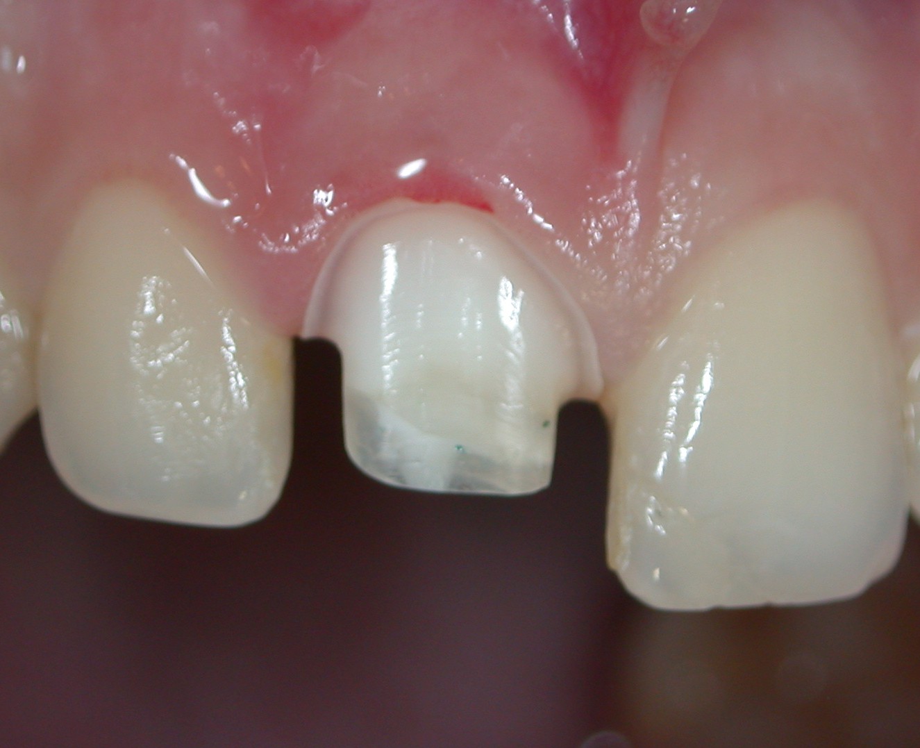
Quando la paziente è arrivata alla nostra attenzione presentava l'incisivo centrale superiore di destra che, a seguito di un trauma pregresso, era stato devitalizzato e ricostruito in maniera esteticamente insufficiente. A seguito della devitalizzazione la radice ed il colletto del dente sono diventati più scuri. La forma anatomica del dente non era rispettata e il passaggio tra ricostruzione e dente era troppo evidente. Pertanto il dente è stato prima sbiancato nella sua porzione radicolare, poi ricostruito con un perno in fibra di vetro e infine ricoperto con una corona in disilicato di litio e ceramica. Il disilicato di litio rappresenta attualmente il materiale con migliori proprietà estetiche.
Restauro con corona protesica di incisivo fratturato.
Il caso clinico è relativo alla ricerca di una soluzione estetica per il restauro di un incisivo centrale di una ragazza che ha subito un trauma con frattura.
TAG: Restauro con corona protesica di incisivo frattura










Dentista Abruzzo, Chieti
Vedi la scheda
Dentista Sicilia, Catania
Vedi la scheda
Dentista Emilia Romagna, Parma
Vedi la scheda
Dentista Campania, Salerno
Vedi la scheda
Dentista Trentino Alto Adige, Bolzano
Vedi la scheda