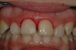
Si presenta alla nostra osservazione un bambino di 11 aa per un consulto in relazione agli elementi dentali 1.1 2.1 i quali in seguito ad un trauma avevano conseguito una frattura nella zona incisale di circa 1/3.
Il precedente odontoiatra,dopo diversi tentantivi di ricostruzione, aveva deciso di protesizzarli con corone provvisiorie in resina.
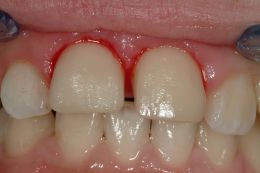
In seguito ad accertamenti clinici e diagnostici abbiamo deciso, soprattutto in realizzazione al fatto che il piccolo paziente necessita di un trattamento ortodontico, di ricostruire con stratificazione anatomica.
La lucidatura non viene effettuata per permettere l'adesione dell' attacco dell'apparecchio ortodontico.
Dott Arduini Luca Dottssa Zuccaro Daiana


Dentista Friuli Venezia Giulia, Udine
Vedi la scheda
Dentista Campania, Salerno
Vedi la scheda
Dentista Lombardia, Varese
Vedi la scheda
Dentista Lombardia, Milano
Vedi la scheda
Dentista Lazio, Roma
Vedi la scheda