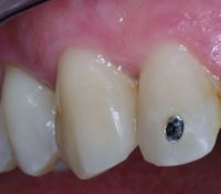
Il caso clinico che presento riguarda una ragazza di 35 anni, di sesso femminile. L'applicazione di un brillantino, contrariamente a quanto si pensa, non necessita di una preparazione con turbina. Viene semplicemente "incollato" al dente tramite un apposito composito fluido. Le varietà di brillantino sono molteplici e vengono scelte a discrezione del paziente. Le procedure sono alquanto semplici: pulizia della superficie dentale, applicazione di mordenzante (acido) e vernice adesiva, infine "cementazione" del brillantino con composito fluido. Il tutto assolutamente senza anestesia e senza l'utilizzo del trapano.



Dentista Lombardia, Milano
Vedi la scheda
Dentista Liguria, Imperia
Vedi la scheda
Dentista Molise, Campobasso
Vedi la scheda
Dentista Puglia, Barletta Andria Trani
Vedi la scheda
Dentista Lazio, Roma
Vedi la scheda