Ci sono casi clinici dove il recupero delle radici compromesse non è solo possibile ma necessario.
Qui viene mostrato un caso in cui la estrazione delle radici avrebbe avuto come conseguenza la perdita dell'osso già sottile e la conseguente impossibilità di inserire degli impianti dentali con tecnica standard.
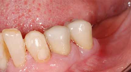
Le foto mostrano il caso prima e dopo il recupero delle radici dentarie.


Estrusione delle radici dentarie
Si inserisce un filo dentro la radice da recuperare e si esegue la estrusione forzata. L'apparecchio ortodontico è posizionato all'interno della bocca dietro i denti frontali. E' quindi estetico nel senso che non si vede.


Intervento di chirurgia parodontale
Si esegue un intervento chirurgico parodontale (allungamento di corona clinica) per adattare la gengiva alla radice recuperata.


Perno moncone
Si costruisce un perno moncone in oro con la tecnica della fusione a cera persa.


Corone definitive
Si costruiscono le corone (capsule),una corona per ogni dente,in metallo ceramica.


Dentista Sicilia, Ragusa
Vedi la scheda
Dentista Veneto, Padova
Vedi la scheda
Dentista Sardegna, Sassari
Vedi la scheda
Dentista Veneto, Verona
Vedi la scheda
Dentista Campania, Napoli
Vedi la scheda