Chirurgia
by
Studio Odontoiatrico Associato Dr. M. Iancu P. e Dott.ssa L. Marchione
08-02-2009
9006 visualizzazioni
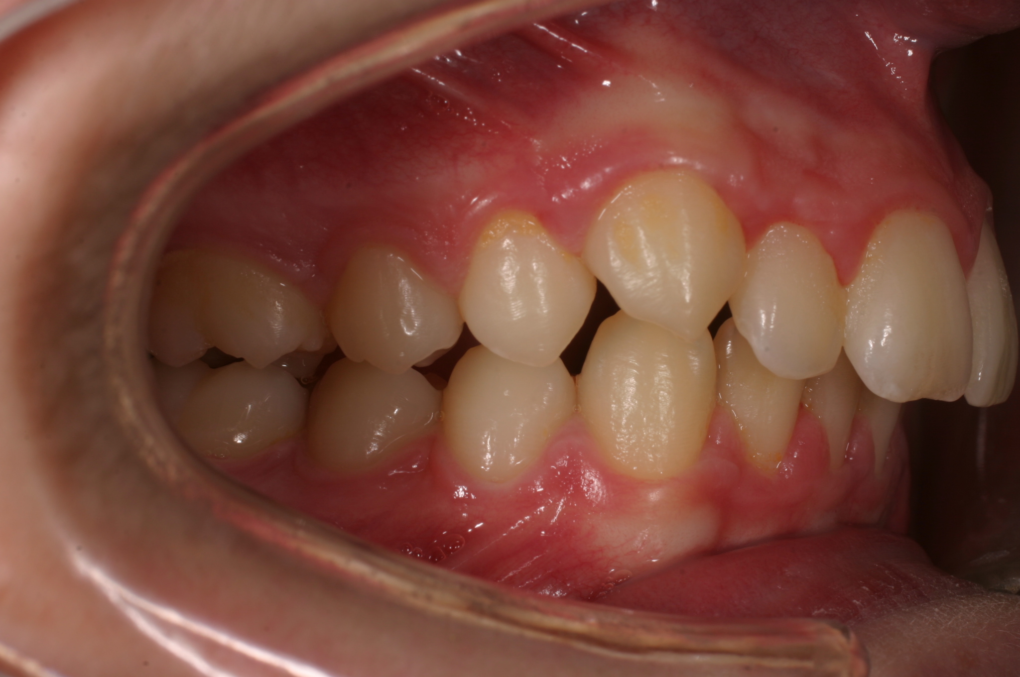
Ho ricevuto domande specifiche circa le caratteristiche di un odontoma! Questa e' un malformazione benigna che puo' avere diverse forme (semplice, composta e complessa)e varia grandezza!In questo caso ancora in trattamento, viene mostrato l'odontoma che impedisce al canino di erompere, la chirurgia di rimozione eseguita in anestesia locale con la collaborazione della Dott.ssa Laura Marchione, l'odontoma con i suoi componenti e la trazione del canino! Aggiungo le foto a trattamento quasi completato! Alla fine potete osservare le foto iniziali del trattamento! In effetti il caso era una II classe scheletrica trattata prima con Twin-Block e poi successivamente con fissa e chirurgia!






Dentista Campania, Napoli
Vedi la scheda
Dentista Puglia, Barletta Andria Trani
Vedi la scheda
Dentista Piemonte, Torino
Vedi la scheda
Dentista Sardegna, Sassari
Vedi la scheda
Dentista Emilia Romagna, Rimini
Vedi la scheda