Menu

Trattamento con mascherine invisibili

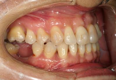
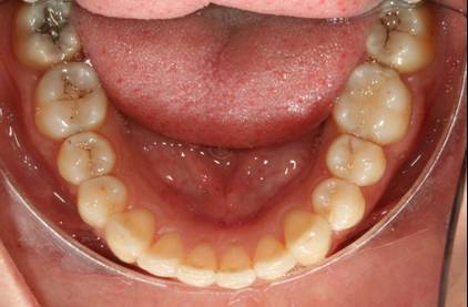
Trattamento soggetto adulto parodontopatico - Trattamento con mascherine invisibili

Trattamento con mascherine invisibili by Dott.ssa Laura Marchione 22-09-2008 5113 visualizzazioni
Il trattamento ha previsto l'utilizzo di 20 mascherine per l'arcata superiore e 13 per l'arcata inferiore.


Scritto da Dott.ssa Laura Marchione
L'Aquila (AQ)

 
 
 
 
 
 
 
 
 
 

TAG: Trattamento con mascherine invisibili