Menu

Trattamento ortodontico con tecnica Invisalign.

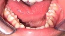
Diastemi - Trattamento ortodontico - Tecnica Invisalign - durata trattamento 1 anno e 2 mesi

Trattamento ortodontico con tecnica Invisalign. by Dott. Edmondo Spagnoli 01-07-2010 4843 visualizzazioni
Diagnosi: diastemi.Trattamento ortodontico.
Tecnica Invisalign.
Età iniziale 16anni.
Mascherine 26/27.
Durata trattamento 1anno 2mesi.


Scritto da Dott. Edmondo Spagnoli
Lecco (LC)

foto iniziali
 
 
 
 
 
 
 
 
 
 
foto finali
 
 
 
 
dopo 2 anni dalla fine del trattamento
 
 
 
 
 
 
 
 
 

TAG: Trattamento ortodontico con tecnica Invisalign.