La paziente inizia il trattamento a 18anni e 7mesi.
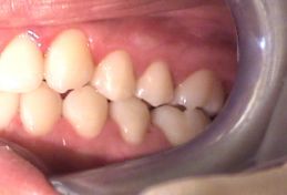
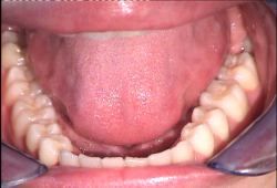
Diagnosi: 1° classe con affollamento e con canini superiori vestibolarizzati con poco spazio e con gli incisivi lingualizzati.
Motivazione: canini superiori vestibolarizzati e molto visibili.
Trattamento: Espansione,proinclinazione incisivi superiori, estrusione ed allineamento 13 e 23
Piano di trattamento: Breve periodo di espansione dell'arcata superiore con Quadelix (3 mesi e mezzo), vestibolarizzazione con vero torque degli incisivi superiori, lingualizzazione ed estrusione 13 e 23.
Quest'ultimo trattamento ha avuto bisogno di elastici di cris cros in aggiunta alle mascherine.
Tecnica Invisalign con accessori elastici
Inizio trattamento 31/03/2003
Totale trattamento 20 mesi:35 mascherine superiori+2 di finissaggio e 31 mascherine inferiori +2 di finissaggio.
Collaborazione perfetta
Commenti finali: raggiunta una occlusione perfetta
Mantenimento: mascherina notturna su entrambe le arcate
Diagnosi: 1° classe con affollamento e con canini superiori vestibolarizzati con poco spazio e con gli incisivi lingualizzati.
Motivazione: canini superiori vestibolarizzati e molto visibili.
Trattamento: Espansione,proinclinazione incisivi superiori, estrusione ed allineamento 13 e 23
Piano di trattamento: Breve periodo di espansione dell'arcata superiore con Quadelix (3 mesi e mezzo), vestibolarizzazione con vero torque degli incisivi superiori, lingualizzazione ed estrusione 13 e 23.
Quest'ultimo trattamento ha avuto bisogno di elastici di cris cros in aggiunta alle mascherine.
Tecnica Invisalign con accessori elastici
Inizio trattamento 31/03/2003
Totale trattamento 20 mesi:35 mascherine superiori+2 di finissaggio e 31 mascherine inferiori +2 di finissaggio.
Collaborazione perfetta
Commenti finali: raggiunta una occlusione perfetta
Mantenimento: mascherina notturna su entrambe le arcate








































Dentista Sardegna, Cagliari
Vedi la scheda
Dentista Marche, Pesaro Urbino
Vedi la scheda
Dentista Calabria, Vibo Valentia
Vedi la scheda
Dentista Abruzzo, Pescara
Vedi la scheda
Dentista Sicilia, Siracusa
Vedi la scheda