Gonfiore gengivale post-intervento su ponte di 6 denti
Scritto da Carolina / Pubblicato il
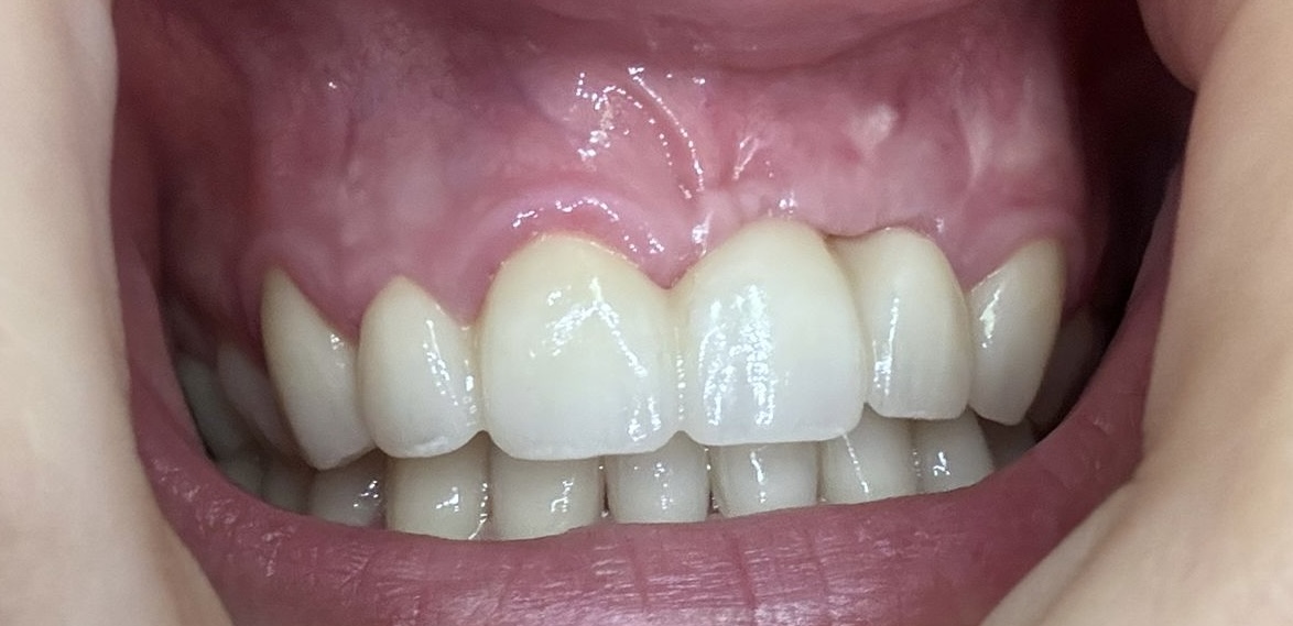
Salve, dopo diversi interventi di innesti gengivali e ossei, mi è stato fatto un ponte di 6 denti (limando 4 denti, due mi sono stati estratti). Dopo un paio di settimane le gengive sono gonfiate come in foto e a distanza di 4 mesi continuano ad essere gonfie. È stata fatta un?altra pulizia dei denti ma nulla è cambiato. Vi sembra una protesi ben fatta? A cosa potrebbe essere dovuto? Per pulire meglio sto utilizzando uno spazzolino sonico (ma le gengive sui denti naturali non sono gonfie)
Pubblicato il 30-09-2025
Sembra un ponte molto poco idoneo alla gengiva - sul 22 c'è una fistola: il dente è devitalizzato??? Va eseguito un trattamento oppure un ritrattamento endodontico..
Pubblicato il 05-10-2025
Gentilissimo utente, lasci perdere lo spazzolino sonico, la foto non è affidabile, probabilmente la riabilitazione deve essere rivista, valutando lo stato endo-parodontale.




Dentista Lombardia, Milano
Vedi la scheda
Dentista Campania, Napoli
Vedi la scheda
Dentista Liguria, La Spezia
Vedi la scheda
Dentista Lombardia, Bergamo
Vedi la scheda
Dentista Veneto, Treviso
Vedi la scheda