Menu
Main Menu
CERCA IL DENTISTA
in Italia
ARTICOLI, CASI CLINICI E VIDEO
Tutti i contenuti di Odontoiatria
DOMANDE & RISPOSTE
Leggi le risposte degli Esperti
Login
User
Sub Menu
Il Forum dei Dentisti
L'Equipe
Consulenti Scientifici
Collaboratori
Contatti|Assistenza
Sei un dentista? ISCRIVITI ORA
Homepage
CERCA IL DENTISTA
in Italia
ARTICOLI, CASI CLINICI E VIDEO
Tutti i contenuti di Odontoiatria
DOMANDE & RISPOSTE
Leggi le risposte degli Esperti
Login
User
Il Forum dei Dentisti
L'Equipe
Consulenti Scientifici
Collaboratori
Contatti|Assistenza
Sei un dentista? ISCRIVITI ORA
Home
Dentista Barletta Andria Trani
Dentista Trani
Dentista Barletta andria trani, Dott. Raffaele Bafunno | Casi clinici
Dentista Dott. Raffaele Bafunno
Dentista Barletta Andria Trani, Puglia
12684 visite
Invia Recensione
Lo Studio
Dove siamo
Casi Clinici
Risposte inviate
Contatta il Dott. Raffaele Bafunno
Casi clinici documentati
Casi clinici in Odontoiatria
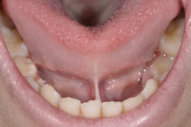
Chirurgia
Frenulotomia linguale laser
28-01-2014
I più cercati
Implantologia
Sbiancamento dentale
Apparecchio invisibile
Ortodonzia
Paradontite Piorrea
Alitosi
Laser dentale
Sedazione cosciente