Dentista Dott. Raffaele Bafunno
Dentista Barletta Andria Trani, Puglia
12667 visite
- Laurea: Medicina e Chirurgia
- Aree di interesse:
- Implantologia dentale
- Indirizzo:
BT:- Piazza della Repubblica 5
76125 Trani - Tel: CLICCA QUI
- Piazza della Repubblica 5
- Iscritto a Dentisti-Italia.it il: 07-09-2009
- Sito web: Clicca qui
Laureato in Medicina e Chirurgia e specializzato in Odontostomatologia, il Dott. Bafunno effettua trattamenti odontoiatrici LASER assistiti. Terapia muco gengivale gengivectomia/papillectomia--allungamento di corona clinica (solo gengivale) rimodellamento estetico parabole gengivali-preparazione del solco prima dell'impronta- frenulotomia labiale-frenulotomia linguale-vestiboloplastica-opercolectomia-esposizione denti non erotti o inclusi- scopertura impianto Terapia parodontale rimozione di tessuto infiammato dalla tasca parodontale decontaminazione della tasca parodontale-decontaminazione perimplantare decontaminazione post-estrattiva, incisione e drenaggio di ascesso parodontale/endodontico Terapia endodontica: pulpotomia parziale nella terapia vitale della polpa TRATTAMENTO RADICALE SENSIBILITA’ DENTINALE Sigillatura solchi nei bambini ed adulti Patologia Chirurgia orale biopsia incisionale ed escissionale escissione e/o rimozione patologie orali: papilloma, leucoplachia, fibroma, epulide, mucocele, emangioma Sbiancamento dentale Biostimolazione terapia antalgica (afta, herpes, ulcere ) terapia antinfiammatoria e biostimolante (post chirurgica, ATM, traumi dentali e parodontali) terapia miorilassante per trisma o contrazione muscoli masticatori Chirurgia orale: avulsioni dentarie semplici e complesse Conservativa: Ricostruzioni in resina composita, intarsi e faccette in ceramica. Endodonzia. Prevenzione: Igiene orale, detartrasi, levigatura radici, sbiancamento dentale con lampada al plasma IMPLANTOLOGIA ATRAUMATICA (flap less)-IMPIANTI PER STABILIZZAZIONE PROTESI TOTALI - IMPLANTOLOGIA postestrattiva che consiste nell'inserire gli impianti subito dopo l'estrazione dei denti - A CARICO IMMEDIATO che permette di avere denti fissi in 24 ore- Protesi fisse: oro-ceramica, ceramica integrale(senza metallo), ponti in ossido di zirconio. Protesi rimovibili: scheletrate, ed in resina Ambienti e attrezzature: Tutti gli ambienti sono stati progettati per ospitare le più moderne apparecchiature e offrire il massimo comfort al paziente.
Modalità di Pagamento: Contanti per importi inferiori a 1.000 euro, Assegni bancari intestati e non trasferibili, Carta di credito bancomat Qualità: Spieghiamo sempre esaurientemente al paziente quali sono i problemi riscontrati e le terapie che si possono adottare. Soprattutto è importante che il paziente conosca il risultato che si prevede di ottenere. Bambini: Cerchiamo di utilizzare metodiche di approccio nel trattare i bambini che non facciano comparire in loro (o eliminino) la paura del dentista. Sicurezza per il paziente: Lo studio è conforme alle norme vigenti in materia di sicurezza, radioprotezione, autorizzazione regionale. Smaltimento rifiuti Questo studio ha stipulato un contratto con una ditta autorizzata allo smaltimento dei rifiuti speciali eo pericolosi La verifica dell’impianto elettrico viene effettuata con cadenza biennale come da legge.
Dipendenti: Lo studio ed il suo titolare operano nel rispetto delle norme di tutela della salute e sicurezza sui luoghi di lavoro (Legge 626/94). Privacy Vengono rispettati tutti gli adempimenti previsti dalla legge sulla privacy attualmente in vigore (Dlgs. 196 del 30/06/03 e successivi). Radioprotezione: Questo studio rispetta gli obblighi di radioprotezione (sorveglianza fisica e controllo di qualità) derivanti dalla detenzione ed uso di apparecchiature radiologiche (D.Lgs. 17 marzo 1995, n.230). In generale, le esposizioni alle radiazioni ionizzanti sono mantenute al livello più basso ragionevolmente ottenibile, compatibilmente con le esigenze diagnostiche odontoiatriche. Sterilizzazione: Qualsiasi strumento che venga in contatto con i pazienti, dopo l’utilizzo, se riutilizzabile, viene sterilizzato per ogni singolo paziente. Nei casi in cui la sterilizzazione non sia tecnicamente possibile, è obbligatoria la disinfezione degli strumenti con sostanze chimiche di riconosciuta efficacia. Il titolare dello studio dichiara che il sito corrisponde alle linee-guida inerenti l'applicazione degli art. 55-56-57 del codice di deontologia medica (pubblicità dell`informazione sanitaria).
Modalità di prenotazione delle visite: Per prenotare una visita potete contattarci al numero telefonico indicati sopra dalle ore 1730 alle ore 2030 dal lunedì al venerdì, o tramite l’indirizzo e-mail elencato.
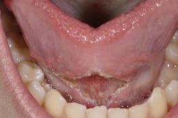
Curriculum: Laurea 23/06/1983 - MEDICINA E CHIRURGIA (BARI) Specializzazione :06/12/1986 - ODONTOSTOMATOLOGIA (BARI) Iscrizioni all`Ordine Professionale Provincia di BARLETTA-ANDRIA-TRANI 21/04/2009 - Albo Provinciale dei Medici Chirurghi di BARLETTA-ANDRIA-TRANI n. 643 Albo Provinciale degli Odontoiatri di BARLETTA-ANDRIA-TRANI n. 159 Le informazioni riportate sopra sono obbligatorie per la pubblicazione di un sito internet secondo il codice di deontologia medica. Tariffario in base a Tariffario A.N.D.I. Associazione Nazionale Dentisti Italiani http://www.uniny.it/andi/tariffario-ANDI.pdf Le foto che vedete si riferiscono a un mio intervento di frenulectomia linguale eseguito con il Laser





.jpg)
