Dentista Dott. Angelo De Fazio
Dentista Napoli, Campania
20885 visiteCasi clinici documentati Casi clinici in Odontoiatria
Denti e bellezza
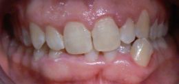
Faccette estetiche ultrasottili dopo terapia Invisalign a paziente bruxista.
21-01-2011
Apparecchio invisibile

