Studio Dentistico Gattuso
Dentista Vibo Valentia, Calabria
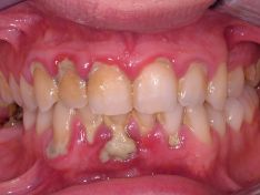
4481 visiteCasi clinici documentati Casi clinici in Odontoiatria
Dentista Vibo Valentia
Dentista Vibo valentia
Dentista Vibo valentia, Studio Dentistico Gattuso | Casi clinici Casi clinici documentati Casi clinici in Odontoiatria
