Video Pubblicati Video di Odontoiatria
Ortodonzia
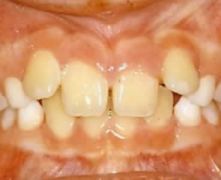
L'apparecchio ortodontico di Damon, ortodonzia senza limiti , affollamento gravissimo
09-11-2013
Ortodonzia funzionale
Deglutizione atipica, necessità di un trattamento intercettivo precoce
09-11-2013
Ortodonzia funzionale

