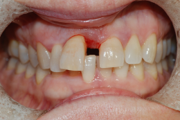
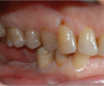
Casi clinici documentati Casi clinici in Odontoiatria
Dentista Dott. Maurizio Mazzella
Dentista Napoli, Campania
9450 visiteCasi clinici documentati Casi clinici in Odontoiatria
Dentista Napoli
Dentista Melito di Napoli
Dentista Napoli, Dott. Maurizio Mazzella | Casi clinici Casi clinici documentati Casi clinici in Odontoiatria
